Date de publication : 24/12/12
Thèmes[Presse] Recherche
Des chercheurs de l’UMR_S 1109 « ImmunoRhumatologie Moléculaire » (INSERM et Université de Strasbourg), dirigée par Seiamak Bahram, et des mathématiciens de l’Université de Strasbourg, en collaboration avec d’autres équipes de recherche françaises, britanniques et américaines (notamment du MIT) proposent un nouveau concept de traitement qui vise à modifier le comportement des cellules cancéreuses dans l’organisme. Jusqu’à maintenant, la plupart des traitements du cancer cherchaient à détruire les cellules cancéreuses dans l’organisme, sans succès dans certains c
as.
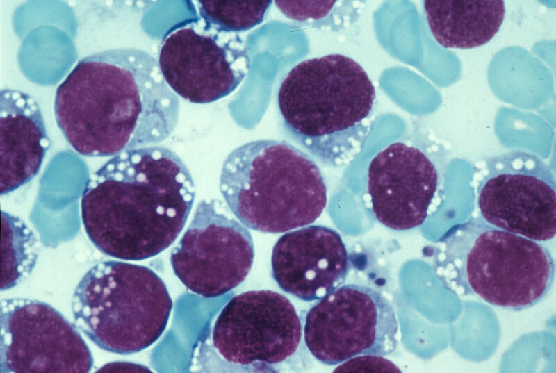
(Photo : Leuc
émie lymphoïde aiguë de type immunoblastique - Inserm)
as.(Photo : Leuc
émie lymphoïde aiguë de type immunoblastique - Inserm)
Document à télécharger
- Nom du fichier : CP_Un_nouveau_concept_de_… Poids du fichier : 153 Ko











